14 年
手机商铺
公司新闻/正文
535 人阅读发布时间:2024-01-17 17:39


在正常情况下,典型的 2-Cys PRDXs,包括 PRDX1-4,可通过催化性 Cys 来还原过氧化物。反应产生的半胱磺酸 (Cys-SOH) 充当连接剂,利用二硫键连接过氧化 PRDXs 产生同二聚体。Cys-SOH 再被还原为 Cys,又可以重新参与到 PRDXs 的催化循环中 (反应 1-3)。
当过量的过氧化物积累时,二硫键形成的速率不够快,会导致 PRDXs 中的 Cys-SOH 被过氧化物进一步氧化,生成半胱亚磺酸 (Cys-SO2H)、磺酸 (Cys-SO3H),这是 PRDXs 的过氧化物 (反应 4-5)。因此,脂质过氧化物在铁细胞中的积累可能被 PRDXs 感知,导致蛋白质的过度氧化。
▐ PRDX3 在铁死亡细胞中被特异性过度氧化

图 3. PRDX3 在铁死亡过程中被过度氧化[1]。
(A) 通过免疫印迹分析测定用指定浓度的 erastin、RSL3 或 FIN56 (此处未显示) 处理12 小时的 SV589 细胞中的过氧化量和总 PRDX1–4 量。(B) 加或不加 2µM erastin 处理 12 小时的细胞,在不存在 2 µg/mL 阻断性高氧化抗原肽或未修饰的对照肽的情况下进行免疫印迹分析。(C) 加或不加 200 nM erastin2 处理 12 小时的细胞裂解物在同一印迹中通过抗 PRDX3 和抗 SO2/3-PRDX1–4 进行免疫印迹,然后用分别红色和绿色荧光标记的二抗进行检测。
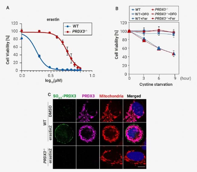
▐ 过氧化 PRDX3 通过抑制胱氨酸摄取诱导铁死亡

图 4. 过氧化 PRDX3 可抑制胱氨酸摄取诱导铁死亡[1]。
(A) erastin 处理细胞 24 小时后的活力测定;(B) 加或不加Deferoxamine (DFO, 50 μM) 或 Ferrostatin-1 (Fer, 1 μM) 的情况下,在指定时间内缺乏胱氨酸的指定细胞的活力测定。(C) 加或不加 200 nM erastin2 处理 12 小时细胞,使用指定抗体和 MitoTracker 进行免疫荧光显微镜检查。▐ 过氧化的 PRDX3 特异存在于铁死亡细胞中
为进一步评估过度氧化的 PRDX3 是否可以作为铁死亡的标志物。作者发现,在 SV589 细胞中,PRDXs 的过度氧化不因为发生细胞凋亡或者坏死性凋亡而产生 (图 5A, C),也不因为铜死亡诱导剂 Elesclomol 或 CCCP 的处理而产生,PRDX3 只在铁死亡中积累,具有特异性(图 5B,D)。

图 5. 不同细胞死亡类型中,只有铁死亡细胞中存在过氧化 PRDX3[1]。
(A) 通过免疫印迹分析测定用指定浓度的 erastin 或camptothecin 处理 12 小时的 SV589 细胞中过氧化的 PRDX3 和裂解的 C-caspase3 的量; (B) 通过免疫印迹分析测定用 2 μM erastin 或 4 μM CCCP 处理 12 小时的 SV589 细胞中过氧化 PRDX3 的量; (C) 用 20 ng/mL TNF-α、100 nM SM164 和 20 μM z-VAD (T/S/Z) 或 2 μM erastin 处理指定时间的 HT29 细胞中过氧化 PRDX3 和 p-MLKL 的量,通过免疫印迹分析确定; (D) 通过免疫印迹分析测定用 2 μM erastin 或指定浓度的 elesclomol 加2 μM CUCL2 处理 12 小时的 SV589 细胞中过氧化 PRDX3 的量。
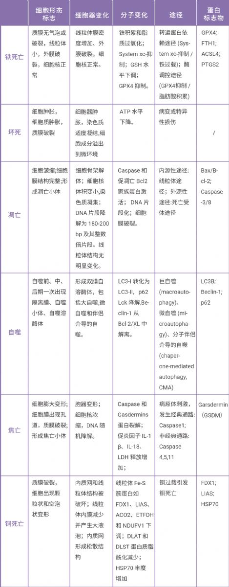
小 M 还为大家整理了相关细胞死亡标志物汇总,有需求的小伙伴可以收藏备用喔~
表 1. 铁死亡与其他细胞死亡的生物标志物汇总[4][5][6][7]。
的身份,为铁死亡研究领域填补了空白的一环。
| Erastin 铁死亡诱导剂,结合且抑制电压依赖性阴离子通道 (VDAC2/VDAC3)。 |
| RSL3 铁死亡诱导剂,可直接降低 GPX4 的表达。 |
| FIN56 铁死亡诱导剂,可导致 GPX4 降解来诱导铁死亡。 |
| Sorafenib 铁死亡诱导剂,还诱导细胞自噬和凋亡。 |
| Deferoxamine 铁螯合剂,可结合 Fe(III) 和许多其他金属阳离子。 |
| Ferrostatin-1 抗氧化剂和铁死亡抑制剂。 |
| L-Cystine 胱氨酸耗竭会诱导铁死亡。 |
| JC-1 试剂盒 用于测量线粒体膜电位的荧光探针试剂盒。 |
| TMRM Perchlorate 亲脂性红色荧光染料,可用于线粒体膜电位检测。 |
| 铁死亡化合物库 收集了 500+ 种文献报道的具有诱导或抑制铁死亡相关的化合物及与铁死亡密切相关的靶点对应的化合物,可以用于铁死亡机制及相关疾病的研究。 |
MCE的所有产品仅用作科学研究或药证申报,我们不为任何个人用途提供产品和服务。
参考文献:
[1] Cui S, et al. Identification of hyperoxidized PRDX3 as a ferroptosis marker reveals ferroptotic damage in chronic liver diseases. Mol Cell. 2023 Nov 2;83(21):3931-3939.e5.
[2] Yan Y, Gan B. Hyperoxidized PRDX3 as a specific ferroptosis marker[J]. Life Metabolism, 2023: load042.
[3] Li J, et al. Ferroptosis: past, present and future. Cell Death Dis. 2020 Feb 3;11(2):88.
[4] Loveless R, Bloomquist R, Teng Y. Pyroptosis at the forefront of anticancer immunity. J Exp Clin Cancer Res. 2021 Aug 24;40(1):264.
[5] Frank D, et al. Pyroptosis versus necroptosis: similarities, differences, and crosstalk. Cell Death Differ. 2019 Jan;26(1):99-114.
[6] Zhao G, et al. Copper induce zebrafish retinal developmental defects via triggering stresses and apoptosis. Cell Commun Signal. 2020 Mar 14;18(1):45.
[7] Wang L, et al. The emerging mechanisms and functions of microautophagy. Nat Rev Mol Cell Biol. 2023 Mar;24(3):186-203.