MedChemExpress LLC品牌商

14

手机商铺

qrcode
商家活跃:
产品热度:
  • NaN
  • 0
  • 0
  • 2
  • 2
MCE 化合物库
询价
品牌商

MedChemExpress LLC

入驻年限:14

  • 联系人:

    高小姐

  • 所在地区:

    上海 浦东新区

  • 业务范围:

    技术服务、耗材、细胞库 / 细胞培养、原辅料包材、试剂

  • 经营模式:

    代理商 经销商

在线沟通
推荐产品

蛋白 A/G 磁珠

品牌:MedChemExpress(MCE)

¥455 - 1950

咨询

MG-132,133407-82-6

品牌:MedChemExpress(MCE)

¥165 - 4900

咨询

PEG300聚乙二醇,25322-68-3

品牌:MedChemExpress(MCE)

¥350 - 1400

咨询

Phorbol 12-myristate 13-acetate佛波酯,16561-29-8

品牌:MedChemExpress(MCE)

¥550 - 4500

咨询

蛋白酶抑制剂 Cocktail (EDTA-Free,100× in DMSO)

品牌:MedChemExpress(MCE)

¥230 - 9750

咨询
查看全部产品

公司新闻/正文

MCE 迎来了一位新成员——抗体

645 人阅读发布时间:2023-05-12 10:12

重磅来袭!抗体   抗体 (Antibodies) 是由抗原进入机体,刺激 B 细胞增殖分化为浆细胞后合成并分泌的一类能与相应抗原发生特异性结合并产生免疫效应的球蛋白,又称免疫球蛋白 (Immunoglobulin,Ig)抗体重链 Fc 区域的特异性序列决定了 Ig 的类型,如 α-IgA、δ-IgD、ε-IgE、γ-IgG、μ-IgM。轻链则有两种类型,分别为 λ 型和 κ 型 (图 1)

新闻图片1

图 1. 抗体结构 (左) 和检测原理 (右) 示意图

     

原理:抗体是一种特异性很高的蛋白质,可以识别和结合到特定的抗原上,从而形成抗原-抗体复合物。抗体检测利用这种特异性反应来检测体内是否存在特定的抗体。      

 

一抗二抗?傻傻分不清楚  

小 M 为大家铺垫了抗体的基础知识及原理,接下来作为萌新的你可能就要问了,“抗体好像有两个?”

其实我们常说的抗体指的是第一抗体即能和抗原特异性结合的蛋白,种类包括单克隆抗体 (monoclonal antibody,mAb) 和多克隆抗体 (polyclonal antibody, pAb)。前者可识别抗原上的单个表位,而后者能够特异性结合同一目标抗原上的不同结合位点 (图 2)

 

新闻图片2

图 2. mAb 和 pAb 示意图

  虽同是抗体,单克隆抗体与多克隆抗体仍存在着诸多区别 (表 2),小 M 为大家简要整理出来啦~  

新闻图片3

表 1. mAb 和 pAb 的主要区别

 

二抗是能和抗体结合,即抗体的抗体,其主要作用是检测抗体的存在,放大一抗的信号。一抗可以特异地结合目标蛋白,但通常需要发光物质或者显色基团标记才能被检测出来,因此会使用可被检测出的带有标记(如带荧光、放射性、化学发光或显色基团)的二抗与一抗结合。这样,当一抗结合到底物上,就可以通过二抗检测出来。

  抗体,如何选择?   看到这里,可能又有小伙伴迷惑了:抗体选择辣么多,而且各自都有看家本领,究竟谁才能让我的 paper 挤进上层社交圈,受到 Science,Cell,Nature业内大佬的赏识呢?别急别急,小 M 这有份秘籍,大家照着做,一定不会出错的。赶紧收藏~ 

 

     

  

抗体选择之一抗

01

分析应用类型

根据所做实验类型选择抗体。

MCE 官网在产品页信息 “应用”一栏 列出了该抗体经实验验证后所适用的实验类型。

如,应用:WB, ICC, IF, IHC-P, FC。      

02

分析样本种属

根据样本种属选择抗体。

MCE 官网在产品页信息 “反应性”一栏列出了该抗体经实验验证后所适用的种属信息。

如,反应性:Human, Mouse, Rat。      

03

选择抗体宿主物种

一般说来,在使用偶联二抗结合无偶联物的一抗时,一抗宿主动物的物种选择较为重要。

① 为避免抗免疫球蛋白的二抗与样品中的内源性免疫球蛋白间发生交叉反应,所选一抗的来源生物体应与样本中生物体不同。如,若研究小鼠蛋白,则应选择除小鼠外的生物体产生的一抗。假设选兔源的一抗,二抗则可选择偶联了检测分子 (酶、荧光素、生物素等) 的抗兔 IgG。

如果选择有偶联物的一抗则不适用上述情况,除免疫组化外的其它对不含内源性免疫球蛋白样本的检测方法,则抗体宿主物种的影响不大。

MCE 官网在产品页信息“宿主”一栏列出了该抗体经实验验证后所适用的种属信息。

如,宿主:Rabbit。

   

04

分析目的蛋白的结构区域

① 待测样本蛋白区域:确认免疫原 (全长蛋白、蛋白质片段、多肽、整个生物体或细胞) 与待检测蛋白区域一致或包含在其内。

样本的提取或处理过程:有些抗体要求样品用特定方式处理,许多抗体仅能识别已还原和变性的蛋白质(其可暴露出蛋白质折叠形成的二级或三级结构中被隐藏的表位);另一方面,有些抗体仅能识别天然、折叠状态的蛋白质上的表位。      

抗体选择之二抗

01

一抗的种属来源

根据一抗的物种来源选择相应的抗该物种的二抗。

若一抗是鼠源的单克隆抗体,二抗则选抗小鼠的二抗 (山羊抗小鼠或兔抗小鼠等)。

② 在特殊实验中,如双标实验,若一抗分别为兔源和鼠来源的,则相应的二抗应同时为抗兔和抗鼠,可选用驴来源的二抗。    

02

二抗的偶联标记

二抗的偶联标记类型主要有:

① 酶类标记(如 AP、HRP…) ② 荧光标记(如 FITC、PE、Cy7…)

③ 其他标记(如 Biotin…)

选用哪种探针的二抗主要取决于具体的实验。

如:Western blot 和 ELISA,常用的二抗是酶标二抗;细胞或组织标记实验 (组织免疫化学,细胞免疫化学,流式细胞术) 中通常使用荧光基团标记的二抗,免疫组化中也可以使用辣根过氧化酶或碱性磷酸酶标记的二抗。      

抗体选择之内参

 

选择完抗体,还要好好思考,该怎么选择内参。切忌不管什么样本,都千篇一律的选择“GAPDH”或者“β-Actin”。此外,选择内参时,还需要根据内参蛋白在样本中相应的表达量进行选择。给大家整理了一份内参选择的攻略,请及时收好哦~        

 

新闻图片4 新闻图片5

左右滑动

表 2. 不同样本中内参选择参照标准

 

      除表格外,小 M 还有一些小 Tips 要提醒大家喔~ 1. β-Actin 不适用于心脏和骨骼肌的样品,心肌和骨骼肌样本可以用 α-Actin 做内参; 2. 当代谢信号通路受到影响,比如组织缺氧,糖尿病研究时 GAPDH 不适合做内参等; 3. 涉及细胞增殖时 PCNA 不适合做内参;  4. 涉及细胞凋亡时 TBP、Lamin 等不适合做内参; 5. Lamin B 不适合作为胚胎干细胞内参。          

 

 

抗体 “有话说”  

 

      实验总有意外,那么会是什么原因导致呢    

上下滑动阅读

1.你真的了解自己的蛋白吗?

你的蛋白是否容易发生修饰?是否容易产生聚合体?是否存在同工异构体?以及种属来源都会影响蛋白的分子量。这里,小 M 给大家推荐 “UniProt” 网站,只有了解蛋白的“前世今生”,这世的我们才能 “双向奔赴”,并“和平相处”呀。

 

2.你的样本真的完全裂解了吗?

这里,小 M 建议选择合适的裂解液,如 RIPA Lysis Buffer (Strong) 并通过匀浆或超声破碎的方式,充分使样本裂解。

 

3.你真的选择对的抗体吗?

科研汪们,切记选择已验证过并高特异性的抗体哦。这里,小 M 难免想要凡尔赛一番,小 M 提供的抗体都是具备严格,可控的质量标准哦。

 

4.你的实验操作真的无错可挑吗?

这里,小 M 就实验操作给大家浅浅的提几条建议:注意配胶时充分混匀,关注电泳的条件。

1)选择合适的封闭液(HY-K1027),抗体稀释液,洗膜液(HY-K1022HY-K1025)等。

2)配胶过程中,注意胶的状态。实验过程中,根据自己的目标蛋白,选择合适的电泳条件。

          

 

 

      MCE 抗体(节选)  

MCE 提供 900+ 一抗和多种二抗,涵盖热门靶点,助力您的科研成果 “通万路”!快来看看咱家的明星产品 (因出场位置受限,只邀请了 6 位明星代表)

 

     

PI3 Kinase p55 gamma Rabbit pAb 

  应用:WB, IHC-P, ICC/IF 反应物种:Human, Mouse,  Rat

 

新闻图片6

 

WB analysis of PI3 Kinase p55 

gamma Rabbit pAb on different 

lysates.

Lane 1-3: 

HEK-293T, 3T3, C6 cell lysates.

Chk1 Rabbit pAb

应用:WB, ICC/IF, IP

反应物种:Human, Mouse, Rat 

 

新闻图片7

 

WB analysis of Chk1 Rabbit 

pAb on different lysates.

Lane 1-3: 

THP-1, C6, PC-12 cell lysates.

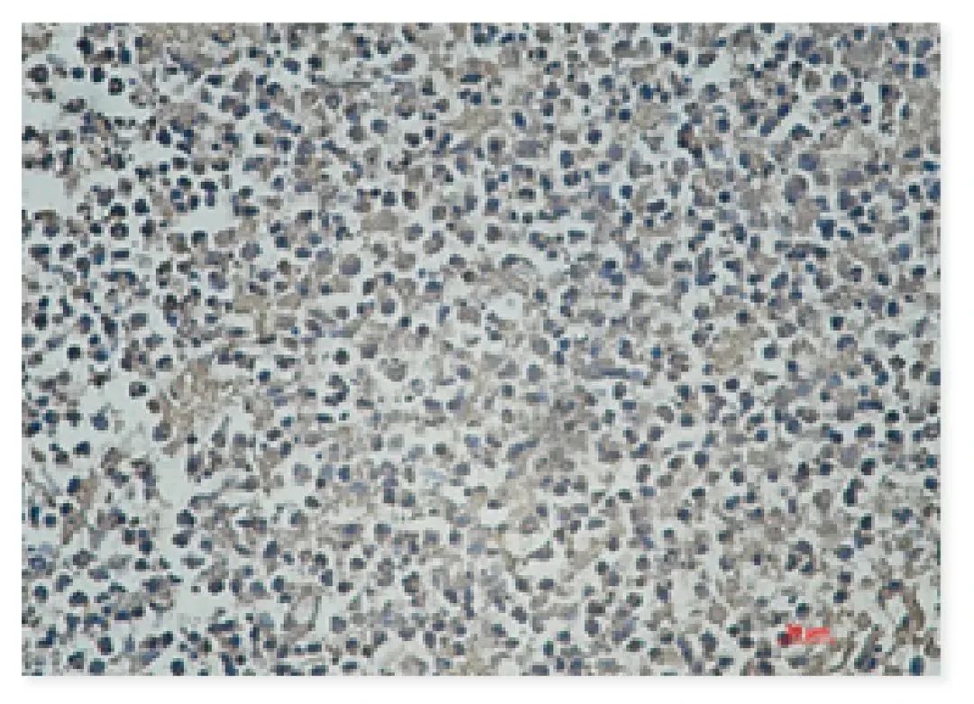
HDAC4 (4A3) Mouse mAb 

应用:WB, IP, IHC-P

反应物种:Human, Mouse, Rat

 

新闻图片8

 

IHC-P analysis of paraffin-

embedded human lung cancer 

tissue using HDAC4 (A5) 

Mouse mAb 

 

ATP Citrate Lyase (3D9) Mouse mAb  

应用:WB, ICC/IF, FC, IHC-P

反应物种:Human, Mouse, 

Monkey

 

新闻图片9

 

IHC-P analysis of paraffin-

embedded mouse testis tissue 

using ATP Citrate Lyase (D7) 

Mouse mAb.

 

 

 

 

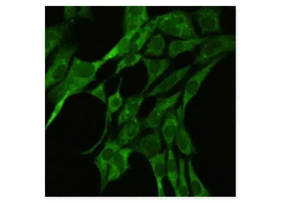
JNK1 (1A4) Mouse mAb

应用:WB, ICC/IF

反应物种:Human, Mouse, Rat

 

新闻图片10

 

IF analysis of JNK1 (A3) 

Mouse  mAb in 3T3 cells 

using JNK1 antibody.

Phospho-AMPK alpha 1 (Ser496) Rabbit pAb   

应用:WB, IHC-P, ICC/IF

反应物种:Human, Mouse, Rat

 

新闻图片11

 

IF analysis of Phospho-AMPK 

alpha 1 (Ser496) Rabbit pAb 

in Hela cells using AMPK

alpha 1 (Phospho-Ser487) 

antibody.

 

 

左右滑动查看更多 

        

 

 

      小结  

好啦,我的新朋友就介绍到这里啦!最后的最后,小 M 衷心祝福使用 MCE 抗体产品的科学汪都有机会得到 Science,Cell,Nature 等业内大佬的赏识,咱们下期再会哦!

 

 

相关产品

Phospho-AKT1 (Ser473) Rabbit MAb

可检测 AKT1 在丝氨酸 473 位点的磷酸化。AKT1 围绕 S473 区域与 AKT2 和AKT3 中的相应区域具有高度相似性,因此如果在相应的丝氨酸上磷酸化,可能会与这些蛋白质发生交叉反应。

alpha Tubulin Rabbit MAb

可检测 alpha-tubulin 总蛋白的内源水平,并不会与重组 β-tubulin 蛋白发生交叉反应。

Bcl2 Rabbit MAb

可检测 Bcl-2 总蛋白的内源水平。

Caspase 11 Rabbit MAb

可识别 Caspase-11 总蛋白的内源水平。

Cleaved-PARP1 Rabbit MAb

可检测由 caspase 裂解产生的 PARP1 大片段 (89 kDa) 的内源水平。该抗体不识别全长 PARP1 或其他 PARP 同工型。

HRP-conjugated AffiniPure Goat Anti-Rabbit IgG (H+L)

在最佳条件下,将抗兔 IgG(H+L)片段与辣根过氧化物酶(HRP)偶联,在 WB 实验中用作二抗。

Alexa Fluor® 488-conjugated AffiniPure Goat Anti-Mouse IgG (H+L)

在最佳条件下,将抗鼠 IgG(H+L)片段与 Alexa Fluor® 488 偶联。

MCE 的所有产品仅用作科学研究或药证申报,我们不为任何个人用途提供产品和服务

上一篇

Dihydrexidine hydrochloride

下一篇

Veliparib 维利帕尼

更多资讯

我的询价