MedChemExpress LLC品牌商

14

手机商铺

qrcode
商家活跃:
产品热度:
  • NaN
  • 0
  • 0
  • 2
  • 2
品牌商

MedChemExpress LLC

入驻年限:14

  • 联系人:

    高小姐

  • 所在地区:

    上海 浦东新区

  • 业务范围:

    技术服务、耗材、细胞库 / 细胞培养、原辅料包材、试剂

  • 经营模式:

    代理商 经销商

在线沟通
推荐产品

蛋白 A/G 磁珠

品牌:MedChemExpress(MCE)

¥455 - 1950

咨询

MG-132,133407-82-6

品牌:MedChemExpress(MCE)

¥165 - 4900

咨询

PEG300聚乙二醇,25322-68-3

品牌:MedChemExpress(MCE)

¥350 - 1400

咨询

Phorbol 12-myristate 13-acetate佛波酯,16561-29-8

品牌:MedChemExpress(MCE)

¥550 - 4500

咨询

蛋白酶抑制剂 Cocktail (EDTA-Free,100× in DMSO)

品牌:MedChemExpress(MCE)

¥230 - 9750

咨询
查看全部产品

公司新闻/正文

MCE | 正确认识老年痴呆

231 人阅读发布时间:2021-08-13 17:06

什么是阿尔茨海默病 (Alzheimer Disease, AD)?
1907 年德国神经病理学家阿尔茨海默 (Alois Alzheimer) 仔细描述了一名具有进行性痴呆表现的 51 岁妇女 (Auguste Deter) 的症状:


她的记忆力严重受损。如果向她显示了对象,她会正确地命名它们,但随后几乎立即她忘记了一切。在阅读测试时,她会逐行跳过或通过单独拼写单词或通过发音使其变得毫无意义来进行阅读。在写作中,她多次重复单独的音节,省略了其他音节并迅速将其完全分解。在发言中,她使用填空和一些释义的表达方式 (“牛奶倒而不是杯子);有时候很明显她无法继续。显然,她不理解某些问题。她不记得某些物品的使用。
 ——Alois Alzheimer

新闻图片1
1. Alois Alzheimer () 和他的病人 Auguste Deter () 的照片

Deter 死后,Alzheimer 使用当时新的银染组织学技术从显微镜下检查了她的大脑,观察到了神经斑,神经原纤维缠结和淀粉样血管病的症状。1910 年这种病被命名为阿尔茨海默病 (AD)    
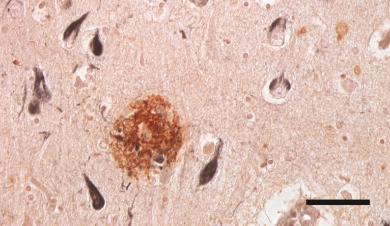
新闻图片2
2. AD 的典型神经病理学特征包括老年 (Aβ) 斑块 (红棕色) 和神经原纤维 (Tau) 缠结 (黑色)

AD 是一种神经退行性疾病,与特定大脑区域的神经元萎缩和死亡相关,是痴呆症的主要形式 (50-75%)。发病初期表现出程度较小的记忆力丧失,后期发展为严重的认知功能障碍,包括行为障碍,运动困难,语言问题,严重的记忆力丧失,妄想症等。目前临床上药物治疗仅能改善认知症状和延缓病情进展,不能逆转病程。



阿尔茨海默病的发病形式
AD 一般以两种形式发生,一种是由遗传决定的早发形式,另一种是非遗传的晚发形式。

1、家族性 AD

家族性 AD 是一种常染色体显性遗传疾病,编码淀粉样肽前体蛋白 (APP)、早老素 1 (PSEN1) 和早老素 2 (PSEN2) 的基因突变会导致家族性 AD。其中,PSEN1 基因突变是大多数家族性疾病的原因。家族性 AD 患者的发病年龄小于 65 岁。

2、迟发性 AD

迟发性 AD 占所有 AD 病例的 95% 以上,发病率随年龄的增加而增大,目前被认为是老年性痴呆的最常见形式。研究表明:年龄较大,动脉粥样硬化,2 型糖尿病,神经创伤和感染以及炎症都是迟发性 AD 的危险因素。因此,迟发性 AD 可能是由遗传风险 (载脂蛋白 Eε4 等位基因) 和环境因素 (毒素、细菌、真菌和病毒病原体等) 之间复杂的相互作用所驱动。



阿尔茨海默病的发病机制
AD 的发病机制异常复杂,涉及多条分子信号通路。目前,关于 AD 发病机制尚无权威解释,比较主流的看法有如下几种:

1β 淀粉样蛋白 (Aβ) 学说

毒性假说是目前 AD 致病机制中占主导地位的学说。细胞外的 异常沉积形成神经衰老斑块。纤维沉积的危害主要有如下几个方面:1) 引起神经元反应性活性氧 (ROS) 增高,诱导细胞凋亡;2) 引发小胶质细胞的吞噬行为,导致炎症因子释放异常,从而引发炎症反应。

2Tau 蛋白过度磷酸化学说

Tau 蛋白是细胞骨架的正常成分,细胞内高度磷酸化的 Tau 蛋白异常聚集形成神经元纤维结,从而使微管扭曲变性不能正常输送营养物质,导致神经元末端的树突和轴突发生营养不良性萎缩。Tau 蛋白的积累是家族性和迟发性 AD 患者脑组织中观察到的病理学特征。

3胆碱能学说

胆碱能可以调节大脑皮层和海马体中神经生长因子的合成与释放。AD 病变过程中,位于基底前脑的胆碱能神经元严重丢失,造成乙酰胆碱转移酶 (ChAT) 活性降低,乙酰胆碱神经递质的异常,出现中枢胆碱能神经系统紊乱,导致记忆力和注意力缺陷,被认为是 AD 的重要病因。


阿尔茨海默病的药物治疗
目前 AD 的治疗方法主要有物理、药物及精神治疗法。虽然目前仍未有治疗 AD 的药物。但临床数据表明,一些药物对预防及治疗 AD 具有显著的效果。

1、乙酰胆碱酯酶抑制剂 (AChEIs)

AChEIs 可以抑制乙酰胆碱酯酶 (AChE) 分解乙酰胆碱 (ACh),提升突触间的 ACh 浓度,恢复 ACh 的正常水平。目前常用于改善 AD 认知障碍的 AChEIs 有他克林 (Tacrine)、多奈哌齐 (Donepezil)、卡巴拉汀 (Rivastigmine)、石杉碱甲 (Huperzine A) 和加兰他敏 (Galanthamine)
 
2、兴奋性氨基酸受体拮抗剂

盐酸美金刚 (Memantine hydrochloride) 是一种非竞争性的  NMDA 受体拮抗剂,在谷氨酸慢性刺激的情况下,可保护细胞免受兴奋性毒性物质的损害,但不会影响 NMDA 受体生理活性。盐酸美金刚是 FDA 批准的第一个用于治疗中重度痴呆的药物。
 
相关产品及其作用机制
Galanthamine
有效的 AChE 抑制剂,IC50 值为 500 nM,可用于研究阿尔茨海默病。
Xanomeline oxalate
有效的、选择性毒蕈碱受体激动剂 (SMRA),可刺激体内的磷酸肌醇水解,可用于阿尔茨海默病的研究。
Tacrine hydrochloride
AChE 和丁酰胆碱酯酶 (BChE) 的有效抑制剂,IC50 值分别为 31 nM 和 25.6 nM 。也是 NMDAR 的抑制剂, IC50 值为 26 μM,可用于研究阿尔茨海默症。
Colivelin TFA
能透过血脑屏障的神经保护肽,是 STAT3 的有效激活剂。可以抑制神经元死亡,在神经退行性疾病中显示出长期有利的影响。
Donepezil
AChE 抑制剂,对牛 AChE 和人 AChE 的 IC50 分别为 8.12 nM 和 11.6 nM。
Rivastigmine
具有口服活性的,有效的 ChE 抑制剂,可抑制 BChE 和 AChE。
Huperzine A
可逆的 AChE 抑制剂,在中国被广泛的运用于阿尔茨海默病的研究。
Memantine hydrochloride
温和的 NMDA 受体非竞争性拮抗剂, 能够抑制 CYP2B6 和 CYP2D6。

缩写:
AD:Alzheimer's disease
APP:Amyloidprecursor protein
PSEN1:Presenilin-1
PSEN2:Presenilin-2
Aβ:Amyloid β-peptide
ROS:Reactive oxygen species
ChAT:Choline acetyltransferase
AChEIs:Acetylcholinesterase inhibitors
AChE:Acetylcholinesterase
ACh:Acetylcholine
NMDA:N-methyl-D-aspartate


参考文献
1. Bondi MW, et, al. Alzheimer's Disease: Past, Present, and Future. J Int Neuropsychol Soc. 2017 Oct; 23(9-10): 818-831. 
2. Walker LC, et, al. Prion-like mechanisms in Alzheimer disease. Handb Clin Neurol. 2018; 153: 303-319. 
3. Balin BJ, et, al. Etiology and pathogenesis of late-onset Alzheimer's disease. Curr Allergy Asthma Rep. 2014 Mar; 14(3): 417. 

4. Perkovic MN, et, al. Genetic Markers of Alzheimer's Disease. Adv Exp Med Biol. 2019; 1192: 27-52. 
5. Mendez MF, et, al. Early-Onset Alzheimer Disease. Neurol Clin. 2017 May; 35(2): 263-281.
6. Lane CA, et, al. Alzheimer's disease. Eur J Neurol. 2018 Jan; 25(1): 59-70.

上一篇

MCE | 外泌体的检测提取机制

下一篇

MCE | 间歇性禁食增强抗癌疗效

更多资讯

我的询价